All illuminations use high-luminance LED with excellent contrast color reproduction. A long service life of approximately 40,000 hours allows for maintenance-free illumination. Furthermore, the microscope is equipped with independent red reflex illumination LEDs for both the right eye and the left eye of the surgeon to provide both eyes with a stable red reflex image.
*LED operating life is defined as a state when light intensity drops to 70%. The operating life of the LED used in OM-19 is approximately 40,000 hours, although this is not guaranteed.

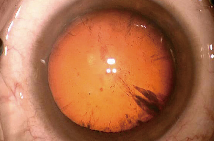
Thanks to the bright red reflex illumination, the red reflex can be seen extremely clearly.

Even during ultrasonic phacoemulsification and aspiration (PEA), which can weaken the red reflex illumination, the lens can be seen clearly due to the bright red reflex illumination.

Sufficient red reflex illumination can also be obtained for small pupils. In addition, bright and stable red reflex illumination can always be obtained, even when the direction of the eye changes.
Since the main illumination and the red reflex illumination use independent LEDs, both the main illumination and the red reflex illumination can be controlled to the light intensity and distribution most appropriate for the condition of the eye under surgery.

Using only red reflex illumination produces high contrast, enhanced images of the lens.

Using the main illumination and red reflex illumination simultaneously and controlling their distribution enhances the 3D appearance of the image.

The illumination is shone and observed along the same path as the optical axis, resulting in efficient return of reflected light from the fundus and ensuring bright and stable red reflex.
*The image is for illustrative purposes only.

The focus, motorised zoom, X-Y speed adjustment, light intensity adjustment and power switches are all integrated into the control panel to make operations more efficient. The light intensity can be adjusted using both the foot controller and the panel, and a staff member can also perform controls on the panel.
The individual light intensity values of the main illumination and red reflex illumination are displayed on the panel to enable smooth adjustments.

The pedal position can be freely customised to create the optimal layout for operation by the surgeon. High water and dust resistance (IPX6) allows use with peace of mind even in operating rooms subject to splashing fluids.

The stopper limits the lowest position of the arm according to the height of the operating table. This reduces the risk of contact with the patient.

The angle of the binocular tubes can be adjusted up to 90 degrees, allowing the surgeon to keep a comfortable posture and maintain concentration for a long time.